TOP NEWS
$3.9 million grant funds research on maternal influence in children’s allergy development
The Wells Center’s pulmonary Inflammation, asthma and allergic diseases group has received a new five-year, $3.9 million grant from the National Institute of Allergy and Infectious Diseases to explore how allergies and asthma may be passed from mothers to their children, presenting a better understanding of how allergies develop and paving the way for transformative approaches to allergy prevention and management.
> Read the news
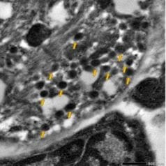
Researchers reveal uncharted liver-focused pathway in gene therapy immune responsesRecent findings from the Wells Center’s gene therapy research program, recently published in Molecular Therapy, reveal the liver may open new avenues for gene therapy precision, offering promising possibilities for safer treatments across a spectrum of genetic diseases.
> Learn more about this research
Hydroxyurea significantly reduces infections in children with sickle cell anemia
Clinical research conducted by members of the pediatric infectious diseases and global health group, in collaboration with partners in Uganda, revealed a remarkable 60% reduction in severe or invasive infections among Ugandan children with sickle cell anemia following hydroxyurea treatment.
> Read the study news
Study uncovers key cells in the heart’s link to several body systems
In a recently published Nature Communications article, Weinian Shou, PhD, and Ying Liu, MSC, PhD, collaborated with scientists from the UK, China and France on an investigation that uncovered an unexpected link between the cells in the heart and other systems of the body.
> Learn about the study
TEAM WELLS UPDATES

Celebrating the Season
Team Wells celebrated the holiday season and a fantastic 2023 by gathering for a festive holiday event on December 7 at the Indiana Historical Society and by joining forces for an exhilarating game of Wells Center Jeopardy on December 21.
T
he Wells Center's business and administration teams also celebrated the season by joining IUPUI’s Season of Giving program to support local families during the holidays. Team Wells sponsored a local family of five, generously contributing 31 gifts. Through partnerships with the Christamore House and Hawthorne Center, the IUPUI community collectively helped 39 families, impacting the lives of more than 120 individuals during the 2023 holiday season.
On January 20, Drs. Melissa Fishel, Karen Pollok and Steven Rhodes presented to representatives of the Lions Cancer Control Fund of Indiana who have partnered with the Riley Children’s Foundation and the Walther Endowment to support pediatric cancer research. The Wells Center investigators discussed ongoing work in their labs and the power of donations.
A generous new $2.5M donation from the Ricks Family Foundation has launched the Heartland Children’s Nutrition Collaborative, a joint effort between Purdue College of Agriculture and the IU School of Medicine Department of Pediatrics to address how early-life food intake can shape and influence short-term and long-term health. Several Wells Center researchers gathered with Purdue investigators on January 25, 2024, to kick off this exciting initiative.


On Saturday, February 3, 2024, the Wells Center connected with two Indiana Dance Marathon organizations making a difference for Riley Hospital for Children and pediatric research at the Wells Center through their diligent fundraising and campus efforts. Reza Saadatzadeh, PhD, represented the Pollok Lab at the Purdue University Dance Marathon (PUDM) executive board retreat held at Riley Hospital (pictured above on the left). PUDM has raised over $11 million since 2005. Indiana University Dance Marathon (IUDM) committee leaders also visited Riley Hospital and the Wells Center (pictured above on the right) to learn more about their impact from the Wells Center's Director Reuben Kapur, PhD. IUDM has raised more than $50 million since 1991, including $3 million in 2023 alone.
Welcome to the Wells Center
Help us extend a warm welcome and congratulations to the members of Team Wells who have recently joined us or accepted new roles since November 2023:
Nermeen Al-Omari
Emily Anderson-Baucum
Suraya Farhana Allie
Allison Kosins
Madison May
Stuti Patel
Rachel Ramos
Ankit Tamta
DISCOVERY IN ACTION
Congratulations to Grant and Award Recipients
Joan Cook-Mills, PhD | “Development of allergy in offspring is enhanced by maternal eicosanoids and lung microbiota composition dysbiosis.” (NIH R01 - National Institute of Allergy & Infectious Diseases)
Michael D. Davis, PhD, Erick Forno, MD, & Troy A Markel, MD | “Obesity and Childhood Asthma: The Role of Adipose Tissue” (NIH R01 - National Heart, Lung and Blood Institute)
Carmella Evans-Molina, MD, PhD | “Data Coordinating Center for Type 1 Diabetes TrialNet” (University Of South Florida)
Alka Khaitan, MD | “Virologic and Immunologic Correlates of Disease Progression in Perinatal HIV” (NIH R21 - National Institute of Child Health and Human Development)
Benjamin Landis, MD | “Novel molecular and cardiac imaging paradigms for precision medicine in aortopathy” (NIH R01 - National Heart, Lung and Blood Institute)
Karen Pollok, PhD | “Radovanovic Gift: Therapeutic Strategies for targeting rare FUS-TFCP2 fusion positive intraosseous rhabdomyosarcoma” (Riley Children's Foundation
Emily K. Sims, MD | “Hybrid Closed Loop Therapy for Beta Cell Preservation in New Onset Type 1 Diabetes (CLVer): Extension Study (CLVerEX)” (University Of Minnesota)
Robert Tepper, MD, PhD | “Continued follow-up of the Vitamin C and Smoking in Pregnancy (VCSIP) cohorts through the ECHO consortium, focus on Echo-wide protocols, respiratory outcomes, airway function, and epigenetic changes” (Oregon Health & Science University)
Stephanie Ware, MD, PhD | “Clinical Site Operations Support for Indiana Undiagnosed Rare Disease Clinic” (Washington University)
RECENT PUBLICATIONS
- “A concise review of exhaled breath testing for respiratory clinicians and researchers.” Published in Respiratory Core. Contributing IU author: Michael D. Davis
- "Advanced Imaging Techniques for the Characterization of Subcellular Organelle Structure in Pancreatic Islet β Cells." Published in Comprehensive Physiology. Contributing IU authors: Madeline R. McLaughlin, Staci A. Weaver, Farooq Syed, Carmella Evans-Molina
- “Allogeneic T cells cause acute renal injury after hematopoietic cell transplantation.” Published in Blood Advances. Contributing IU author: Daniel Peltier
- “APE1/Ref-1 as a Therapeutic Target for Inflammatory Bowel Disease.” Published in Biomolecules. Contributing IU author: Mark Kelley
- “Apixaban for Prevention of Thromboembolism in Pediatric Heart Disease.” Published in Journal of the American College of Cardiology. Contributing IU author: R. Mark Payne
- “Blood biomarkers of neuronal injury in pediatric cerebral malaria and severe malarial anemia.” Published in Brain Communications. Contributing IU authors: Dibyadyuti Datta, Adnan Gopinadhan, Alejandro Soto, Andrea L. Conroy, Andrew J. Saykin, Keisuke Kawata, Chandy C. John
- “Breast Cancer-related Lymphedema: Recent Updates on Clinical Efficacy of Therapies and Bioengineering Approaches for a Personalized Therapy.” Published in Current Pharmaceutical Design. Contributing IU author: Narasimha M. Beeraka
- “Cavin-2 promotes fibroblast-to-myofibroblast trans-differentiation and aggravates cardiac fibrosis.” Published in ESC Heart Failure. Contributing IU author: Simon J. Conway
- “Comparisons of Metabolic Measures to Predict T1D vs. Detect a Preventive Treatment Effect in High-Risk Individuals.” Published in The Journal of Clinical Endocrinology & Metabolism. Contributing IU authors: Emily K. Sims, Heba M. Ismail
- “Comprehensive Comparison of AAV Purification Methods: Iodixanol Gradient Centrifugation vs. Immuno-Affinity Chromatography.” Published in Advances in Cell and Gene Therapy. Contributing IU authors: Anh K. Lam, Patrick L. Mulcrone, Dylan Frabutt, Junping Zhang, Sreevani Arisa, Maite Munoz, Xin Li, Moanaro Biswas, David Markusic, Roland W. Herzog, Weidong Xiao
- "Creation of a non-Western humanized gnotobiotic mouse model through the transplantation of rural African fecal microbiota." Published in Microbiology Spectrum. Contributing IU authors: Kristin M. Van Den Ham, Morgan R. Little, Olivia J. Bednarski, Elizabeth M. Fusco, Rabindra K. Mandal, Nathan W. Schmidt
- “Dbh+ catecholaminergic cardiomyocytes contribute to the structure and function of the cardiac conduction system in murine heart.” Published in Nature Communications. Contributing IU authors: Ying Liu, Weinian Shou
- “Deciphering conundrums of AAV liver-directed gene therapy: focus on hemophilia." Published in Journal of Thrombosis and Haemostasis. Contributing IU author: Radoslaw Kaczmarek
- “Distinct functions and transcriptional signatures in orally induced regulatory T cell populations.” Published in Frontiers in Immunology. Contributing IU authors: Moanaro Biswas, Kaman So, Thais B. Bertolini, Jyoti Rana, Maite Muñoz-Melero, Farooq Syed, Sandeep R. P. Kumar, Hongyu Gao, Xiaoling Xuei, Sha Cao, Roland W. Herzog
- “Enhancing anti-tumor potential: low-intensity vibration suppresses osteosarcoma progression and augments MSCs' tumor-suppressive abilities.” Published in Theranostics. Contributing IU authors: Xue Xiong, Qingji Huo, Kexin Li, Changpeng Cui, Charles Park, Pankita H. Pandya, M. Reza Saadatzadeh, Khadijeh Bijangi-Vishehsaraei, Chien-Chi Lin, Melissa A. Kacena, Karen E. Pollok, Andy Chen, Jing Liu, William R. Thompson, Hiroki Yokota
- “First in vivo base-editing trial shows promise.” Published in Molecular Therapy. Contributing IU author: Renzhi Han
- “Generation of Atp6v1g3-Cre mice for investigation of intercalated cells and the collecting duct.” Published in American Journal of Physiology Renal Physiology. Contributing IU authors: Vijay Saxena, Samuel Arregui, Shaobo Zhang, Jorge Canas, David S. Hains, Andrew L. Schwaderer
- “Hailey-Hailey Disease is Associated with Diabetes: A Population-based Cohort Study, Clinical Cohort Study, and Pedigree Analysis.” Published in Acta Dermato-Venereologica. Contributing IU author: Carmella Evans-Molina
- “Hydroxyurea reduces infections in children with sickle cell anemia in Uganda.” Published in Blood. Contributing IU authors: Caitlin Bond, Andrea Conroy, Dibyadyuti Datta, Michael J. Goings, Chandy C. John
- “Identification and characterization of Hand2 upstream genomic enhancers active in developing stomach and limbs.” Published in Developmental Dynamics. Contributing IU authors: Chloe A Ferguson, Beth A. Firulli, Anthony B. Firulli
- “Inhibitor development according to concentrate in severe hemophilia: reporting on 1392 Previously Untreated Patients from Europe and Canada.” Published in Research and Practice in Thrombosis and Haemostasis. Contributing IU author: Radek Kaczmarek
- "In vitro and In vivo evidence demonstrating chronic absence of Ref-1 Cysteine 65 impacts Ref-1 folding configuration, redox signaling, proliferation and metastasis in pancreatic cancer." Published in Redox Biology. Contributing IU authors: Mahmut Mijit, Eyram Kpenu, Nayela Chowdhury, Silpa Gampala, Randall Wireman, Sheng Liu, Olivia Babb, Millie M. Georgiadis, Jun Wan, Melissa L. Fishel, Mark R. Kelley
- "IP-DNQ induces mitochondrial dysfunction and G2/M phase cell cycle arrest to selectively kill NQO1-positive pancreatic cancer cells." Published in Antioxidants & Redox Signaling. Contributing IU authors: Lingxiang Jiang, Yingchun Liu, Soumya Tumbath, Jiangwei Wang, Xiaolin Su, Kashif Rafiq Zahid, Katherine Li, Yaomin Chen, Kai Yang, Xiumei Huang
- "New Ref-1/APE1 targeted inhibitors demonstrating improved potency for clinical applications in multiple cancer types." Published in Pharmacological Research. Contributing IU authors: Silpa Gampala, Randall Wireman, Jacqueline Peil, Sonia Kiran, Dana K. Mitchell, Kylee Brewster, Henry Mang, Andi Masters, Christine Bach, Whitney Smith-Kinnamen, Emma H. Doud, Ratan Rai, Amber L. Mosley, Sara K. Quinney, D. Wade Clapp, Chafiq Hamdouchi, Chi Zhang, Millie M. Georgiadis, Mark R. Kelley, Melissa L. Fishel
- “Plasminogen deficiency suppresses pancreatic ductal adenocarcinoma disease progression.” Published in Molecular Oncology. Contributing IU authors: Nayela N. Chowdhury, Melissa L. Fishel
- “Protein Kinase A Is a Master Regulator of Physiological and Pathological Cardiac Hypertrophy.” Published in Circulation Research. Contributing IU authors: Junping Zhang, Weidong Xiao
- "Quantitative analysis of preferential utilization of AAV ITR as the packaging terminal signal." Published in Frontiers in Bioengineering and Biotechnology. Contributing IU authors: Xin Li, Lohra Mickelle Miller, Martin F. Jarrold, Roland W. Herzog, Weidong Xiao, Junping Zhang
- “The beta cell-immune cell interface in type 1 diabetes (T1D).” Published in Molecular Metabolism. Contributing IU author: Amelia K. Linnemann
- “TIGIT contributes to the regulation of 4-1BB and does not define NK cell dysfunction in glioblastoma.” Published in iScience. Contributing IU authors: Bennett D. Elzey, Aaron A. Cohen-Gado, Karen E. Pollok
- “TLR9-independent CD8+ T Cell Responses in Hepatic AAV Gene Transfer Through IL-1R1-MyD88 Signaling.” Published in Molecular Therapy. Contributing IU authors: Sandeep R.P. Kumar, Moanaro Biswas, Di Cao, Sreevani Arisa, Maite Muñoz-Melero, Anh K. Lam, Annie R. Piñeros, Reuben Kapur, Weidong Xiao, Roland W. Herzog
KUDOS AND RECOGNITION
- Eyram Kpenu of the Kelley Lab and Rada Malko of the Pollok Lab were awarded fellowships from the IU Melvin and Bren Simon Comprehensive Cancer Center’s Pediatric and Adult Translational Cancer Drug Discovery and Development Training Program (PACT-D3) T32!
- David Hains, MD and Carmella Evans-Molina, MD, PhD, were elected as members of the American Society for Clinical Investigation (ASCI) for 2024. The ASCI seeks to support the scientific efforts, educational needs, and clinical aspirations of physician-scientists to improve the health of all people.
- Mark Kelley, PhD, is celebrating the positive Phase 2 trial results of his oral therapeutic to treat diabetic retinopathy called APX3330. The news was recently highlighted by IU Impact. APX3330, and its parent company Ocuphire Pharma, were also recently recognized by Nasdaq for representing one of six biotech stocks developing promising treatments for hard-to-treat diseases.
- Mark Kelley, PhD, has marked 26 years of service to the editorial board of the Journal of Pharmacology and Experimental Therapeutics, which he joined in January of 1998!
- Mark Kelley, PhD, and Timothy Corson, PhD, were issued a new patent in Australia "Targeting Ocular Diseases With Novel APE1/REF-1 Inhibitors"
- Mark Payne, MD, was featured in an article by TCTMD about the latest findings from his SAXOPHONE clinical study which investigates apixaban as a direct oral anticoagulant option for pediatric heart disease.
- Emily Sims, MD, was interviewed by Medscape to discuss her study about the drug α-difluoromethylornithine (DFMO) to help preserve beta-cell function in people with new-onset type 1 diabetes.
- Stephanie Ware, MD, PhD, was featured as part of IU School of Medicine’s Women in Leadership Series which highlights the journey that led her to become a nationally recognized leader in genetics.
- Weidong Xiao, PhD, and Anh Lam, a former postdoctoral scientist, developed modified adeno-associated viral (AAV) capsids aimed at providing more treatment options for patients with genetic diseases. The news was recently highlighted by IU Impact as IU’s Innovation and Commercialization Office (ICO) filed a provisional patent for their innovation.
Learn more about the Herman B Wells Center for Pediatric Research